张雪 周晓蕾 汤善宏
西部战区总医院消化内科
编者按:为了帮助临床肝病医生扩宽视野、丰富实践,培养临床思维能力,《国际肝病》特邀请西部战区总医院消化内科汤善宏教授团队共同打造“Liver疑难病例”专栏。本栏目汇集了汤善宏教授团队多年临床诊治工作中所遇到的“经典病例”,同时也将定期搜集知名学术期刊所刊发的或复杂或罕见的临床病例,重点阐述各种肝病的诊疗思路,为广大同道提供宝贵的临床借鉴。
主题述评
POEMS综合征是一种罕见的由潜在浆细胞肿瘤引起的副肿瘤综合征,该综合征由5个共同特征命名,即多发性神经病变(polyneuropathy,P)、脏器肿大(organomegaly,O)、内分泌病变(endocrinopathy,E)、单克隆γ球蛋白病(monoclonal gammopathies,M)和皮肤改变(skin changes,S)。POEMS综合征临床表现多样,起病隐匿,早期缺乏特异性表现,易误诊或漏诊,导致治疗延误。神经系统症状通常是POEMS综合征患者的首发临床表现,而腹水是POEMS综合征患者的少见症状。本文报告一例罕见的以腹水为早期表现的POEMS综合征[1],为反复不明原因腹水患者的临床诊治提供新的临床思路。
病例简介
患者女,51岁。
主诉:腹胀9个月。
现病史:患者于2021年2月无明显诱因出现腹胀不适伴双下肢水肿、纳差、厌油、乏力;2021-03-16第一次入我院治疗;尿常规:蛋白(+);隐血(+);24小时尿蛋白0.19 g/L;尿微量白蛋白:74.1 mg/L;甲状腺功能:游离甲状腺素1.17 ng/dL(正常下限为0.9 ng/dL)、游离三碘甲状腺原氨酸1.1 pg/mL(正常下限为3.28 pg/mL)。BNP:102.73 ng/mL(正常上限100 ng/mL);补体免疫球蛋白:IgG 18.0 g/L(正常上限为16 g/L);补体C3 0.66 g/L(正常下限为0.79 g/L);PPD试验阳性,结核抗体(+);肝纤维化示:硬度值:21.9 kPa。心电图示:右心房负荷重。
当时行胸腹部增强CT示: 1)左肺上叶舌段、双肺下叶条片、条索影,考虑炎性改变伴陈旧性病灶; 2)心脏饱满;双侧胸膜稍增厚,左侧胸腔少量积液; 3)纵隔及双侧腋窝多发淋巴结显示,部分肿大; 4)可疑肝硬化,脾大,腹盆腔积水; 5)胃肠道壁肿厚,腹盆腔内脂肪间隙模糊(图1)。
图1. 2021年3月16日胸部和腹部CT
A:左肺舌段和双肺下叶的炎症性病变,双侧胸膜略微增厚,左胸腔少量积液;B:心脏轻微增大,纵隔淋巴结增大;C:双侧腋窝淋巴结增大;D:肝裂变大和腹水;E:脾肿大、盆腔积液、肠壁肿胀增厚,腹部和盆腔脂肪间隙模糊
浅表淋巴结超声示:双侧颈部,双侧腋窝、双侧腹股沟多发淋巴结肿大。
反复多次腹腔穿刺抽腹水为渗出液,有核细胞计数:120×106/L;红细胞计数:110×106/L;黏蛋白定性阴性,单个核细胞80%;多个核细胞占20%;总蛋白43 g/L;葡萄糖8.17 mmo/L。
腹水病理示:查见较多炎细胞,未查见肿瘤细胞;骨髓涂片示:有核细胞增生活跃;骨髓活检示:骨骼组织增生活跃。左、右颈部及腹股沟淋巴结活检,病理均提示:淋巴反应性增生。2021-03-31肝穿刺活检病理(图2A)示:肝实质见点状坏死灶及陈旧性桥接坏死灶;间质少量嗜酸性粒炎细胞浸润,考虑轻度慢性肝炎G1/S1。
PET/CT示:双侧颈部、双侧锁骨区,纵膈、双侧腋窝、腹膜后、腹股沟多发稍大淋巴结伴FDG代谢轻度增高,结合病理,符合淋巴结炎性增生改变,心、肝、脾增大,盆腹腔大量积液,双侧肾周筋膜增厚,左侧肾上腺稍增粗伴FDG代谢轻度增高,考虑增生性改变。
超声引导下腹膜活检病理(图2B)示:少许纤维成分,间质水肿,伴少量炎性细胞,间皮增生,取材未见肿瘤。血常规、肝肾功、血沉、结核干扰素释放试验、门静脉超声、胃镜、肠镜等辅助检查均未见明显异常。

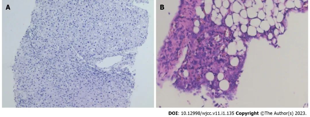
图2. 病理组织活检
A:肝脏活检:肝实质见点状坏死灶及陈旧性桥接坏死灶,间质少量嗜酸性粒炎细胞浸润;B:腹腔镜探查腹膜活检腹壁、大网膜结节纤维脂肪组织中炎细胞浸润,小血管增生
初次诊断:腹水待诊:结核性腹膜炎?淋巴瘤?自身免疫性疾病?
既往治疗经过:
于2021-05-28行诊断性抗结核治疗,给予异胭肼、利福平、吡嗪酰胺、乙胺丁醇常规抗结核治疗两个月后患者强烈要求继续行抗结核治疗至2021-09-02,腹水未能消退。治疗期间患者肾功能不全及贫血进行性加重。2021-09-02因高钾血症再次入院,血钾6.59 mmo/L;并于2021-09-14行腹腔镜探查术:腹腔内组织炎症水肿,尤以右上腹肝膈面为重,覆少许脓苔,腹腔中有淡黄色积液约1000 mL;胃、肠管、大网膜及壁层腹膜未见结节及肿块;盆腔中各器官表现光滑,未发现确病灶;于炎性最重的右上腹取组织活检,壁层腹膜2块,大网膜1块,病理(图2B)示:腹壁、大网膜结节纤维脂肪组织中炎细胞浸润,小血管增生。特殊染色:抗酸(-)、PAS(-),考虑炎性病变;近期再次出现腹胀于2021-11-02再次入院。
既往史:2017年因甲状腺乳头癌行甲状腺手术全切,左右颈部淋巴结清扫切除术,并行甲状旁腺移植术,术后一直服用“优甲乐”替代治疗;并发现全身多处淋巴结肿大,淋巴结活检未见肿瘤细胞;曾于院外行骨髓穿刺未见明显异常。2019年发现高血压,一直服药治疗,控制血压在正常范围内。2020年因胆囊结石行“胆囊切除术”。
家族史:无特殊。
查体:体型消瘦,双侧颈部、腋窝、左右腹股沟均可扪及淋巴结肿大,3~5 mm,质韧,可活动,无压痛。双肺呼吸音清晰,未闻及干、湿罗音;腹膨隆,无腹壁静脉曲张,腹软,无压痛,肝脾肋下未扪及,移动性浊音阳性,双下肢无水肿。
实验室检查:入院后查血常规检查示贫血和血小板减少(WBC 5.06×109/L;HGB:50 g/L;PLT:48×109/L)。2021-11-25动脉血气分析示代谢性酸中毒(PH 7.2;氧分压69 mmHg;氧饱和度89%)。肾功能检查示肾功能衰竭(尿素41.77 mmol/L;肌酐441 μmol;内生肌酐清除率:24.5 mL/min)。BNP:234.37 pg/mL;腹水常规、生化示:总蛋白39.2 g/L(正常上限值25 g/L);黏蛋白定性试验阳性;血清腹水白蛋白梯度(SAAG)为8.2 g/L,提示腹水为渗出液。外周血游离轻链测量值为:κ轻链96.36 g/L(正常上限为13.5 g/L);λ轻链 333 g/L(正常上限为7.23 g/L);κ/λ 0.2894(正常参考值1.35~2.65)。血液免疫固定电泳显示IgG-λ型。血清蛋白电泳显示α1球蛋白为6.84%(正常上限为5.03%)。M蛋白阳性。血管内皮生长因子(VEGF)升高为221.23 pg/mL(正常上限1.56 pg/mL)。催乳素浓度异常升高(44.98 ng/mL,正常上限19.64 ng/mL)。此外,神经传导速度显示肢体神经脱髓鞘,轴突改变累及运动和感觉神经纤维;双上肢慢性神经源性损伤;下运动神经元神经根受损;以及皮肤-脊髓-四肢感觉通路传导异常。同时,腹水和血液的外周血IgG4,HHV-8和mNGS检测均呈阴性。
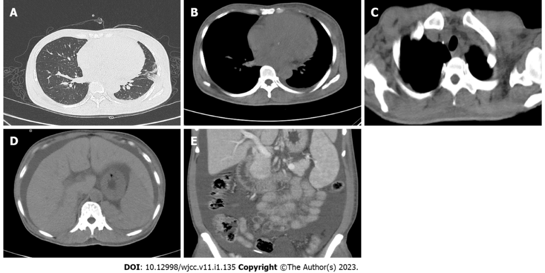
影像学检查:2021-11-12复查胸腹部CT示(图3):1)双侧胸膜增厚,双侧胸腔少-中量积液,双肺多发散在炎性改变,明显多于2021-03-16所见;2)心脏较早期图像增大,心包中度积液较早期图像明显;3)纵隔、双侧腋窝及腹股沟、腹膜后多发淋巴结显示,部分肿大;4)肝脏饱满,肝脏左右叶比例失调;脾大,腹盆腔积液,较前积液增多,胃肠道壁增厚,腹盆腔内脂肪间隙模糊,双肾周筋膜增厚、紊乱,腰腹部及臀部软组织水肿。
图3. 2021年11月12日胸部和腹部CT
A:双侧胸腔积液,双肺下叶肺不张,心脏增大心包积液;B:双肺多发炎性病变,双侧胸膜稍增厚,左叶裂少量积液;C:双侧腋窝淋巴结增大;D:肝大、腹水、脾大和肝囊肿;E:腹膜后淋巴结肿大和肾周膜筋膜增厚;F:腹盆腔积液、胃肠壁增厚,腹腔及盆腔脂肪间隙模糊;G:双侧腹股沟淋巴肿大,腰部、腹部和臀部软组织水肿
最终诊断:综合考虑患者有多发性神经病变、单克隆浆细胞发育不良、VEGF浓度明显升高、肝脏肿大、血管外容量超负荷、催乳素升高等,经MDT讨论,诊断考虑为POEMS综合征。
治疗经过:入院后予以胸腔闭式引流,输注红细胞、血小板等对症治疗,考虑患者不除外自身免疫性疾病,给予甲泼尼龙,哌拉西林钠/舒巴坦钠抗感染治疗,持续性肾替代治疗(CRRT)。2021-12-02复查胸部CT(图4):较初次治疗后胸腔积液减少,但肺部感染加重,心包积液增多,腹水未消退,腹部胀气明显,出现全身水肿,且出现双下肢肌力进行性下降至1级,病情加重,于2021-12-16经MDT讨论最终诊断为POEMS后患者接受化疗,并于2021-12-17给予硼替佐米2 mg(D1,5,8,12),地塞米松40 mg(D1,2,5,6,8,9,12,13)治疗,患者用药后出现尿量减少,胃肠道反应、呼吸困难和代谢性酸中毒;考虑肿瘤溶解综合征,及时给予行CRRT治疗后症状好转,第一个疗程治疗结束后,患者精神、饮食好转,全身水肿明显消退,外周血和腹水中细胞因子浓度恢复正常,双下肢肌力恢复至3级。
图4. 2021年12月2日胸部CT
A:双肺散在多发片絮及条片影,考虑炎性改变伴陈旧性病灶,较前增多;B:双侧胸腔积液减少和心包积液增加
疗效及随访:患者在第一周期化疗结束3周后继续接受第二周期化疗:硼替佐米2 mg(D1、5),地塞米松40 mg(D1、2、5、6);治疗后患者再次因肿瘤溶解综合征出现肾功能衰竭、呼吸困难和代谢性酸中毒,接受CRRT治疗3天后BNP从17908.79 ng/mL下降至7872.74 pg/mL,动脉血气分析示PH值(从7.06恢复至7.28)二氧化碳分压(从86 mmHg恢复至60 mmHg)、氧分压(从56 mmHg恢复至134 mmHg)已恢复;然而CRRT后5天患者再次出现呼吸困难和代谢性酸中毒。患者拒绝接受进一步治疗,并要求出院,出院后一天于院外死亡。
专家点评
POEMS综合征由Bardwick在1980年提出[2],是一种罕见的由潜在浆细胞肿瘤引起的副肿瘤综合征,发病率0.3/100 000[3],其临床表现多样,早期表现没有特异性,以多发性周围神经变、脏器肿大、内分泌疾病、单克隆γ球蛋白病和皮肤改变最为多见;其中以神经系统症状最为多见,本病例以腹水为早期症状的极为罕见。
POEMS综合征起病隐匿,症状不典型,患者通常需等到各种临床表现相继出现方可明确诊断,故诊断耗时较长,且易误诊、漏诊,并错过最佳治疗时机;该病通用诊断标准为:2项必备标准(多发性神经病变、单克隆浆细胞增生异常);3项重要标准(硬化性骨损害、Castleman病、VEGF水平);6项次要标准(脏器肿大、血管外容积超负荷、内分泌病、皮肤改变、视神经盘水肿、血小板增多症/红细胞增多症)及其他症状和现象(体重下降、多汗症、杵状指、肺动脉压升高、腹泻)。具备2项必备+至少1项重要标准+至少1项次要标准方可诊断[4]。但Suichi T等人也提出了新的诊断标准:1个主要标准(多发性神经病、单克隆增殖性疾病和VEGF升高),4个次要标准:血管外容量超负荷、皮肤变化、器官肿大和硬化性骨病变。新诊断标准被定义为存在所有3个主要标准和至少4个次要标准中的2个即可诊断[5],新标准在保证与旧标准灵敏度和特异性相似的情况下,具有简化诊断标准,可提高POEMS综合征的早期诊断率等优势。
该疾病的病因及发病机制尚不明确[6],现有研究发现其可能发病机制主要包括以下几个方面:1)单克隆性浆细胞增殖引起的M蛋白异常分泌会对神经系统、内分泌系统、造血系统、网状内皮系统产生毒性作用,并造成这些系统出现功能异常[7];2)过度分泌的炎性细胞因子会造成炎症反应与周围神经脱髓鞘改变,引起皮肤损害及神经性水肿等病症[8];3)VEGF分泌增多可导致血管通透性增加,促进新生血管形成,引起多发性神经病变、脏器肿大、皮肤改变、内分泌功能紊乱和视乳头水肿等表现[9,10]。
该病例不明原因腹水可能与VEGF水平升高使腹腔血管通透性增加有关,其腹水白蛋白水平显著升高,与患者临床特征相符。最新研究显示,VEGF除了在疾病发病机制中扮演重要角色外,还是诊断标准和疗效评估的重要指标[11]。VEGF轻度升高很少发生在其他炎症性神经病和血液系统恶性肿瘤中,因此对于脱髓鞘性神经病、显著升高的VEGF和λ副蛋白的组合对于做出明确的POEMS诊断至关重要[12],治疗后6个月的血清VEGF水平是POEMS综合征疾病活动和预后的预测性生物标志物。血清VEGF可用作临床试验中POEMS综合征的无复发生存或临床或实验室改善的替代终点[13]。该患者腹水及血清VEGF水平均显著升高,进一步验证POEMS的诊断,并提示该患者预后不佳。
白介素(IL)6是一种多功能细胞因子,可发挥诱导B细胞分化为产生抗体的细胞、T细胞和神经细胞分化、肝细胞中的急性期蛋白以及造血细胞的活化等多种功能,可能是诱发POEMS综合征各种临床症状和病理特征的致病因素[14];该患者IL-4、IL-6、IL-10在血液、腹水、心包积液中均显著升高,在行第一个疗程治疗结束后复查IL-4、IL-6、IL-10均正常,提示治疗有效。由此可见,免疫激活和炎症状态的增加可能是POEMS综合征腹水的发病机制[15]。
POEMS综合征预后不佳,平均中位生存期为5~7年,生存期取决于伴发疾病的性质和状况,早期诊断有利于改善患者预后[16]。该患者在行甲状腺癌手术时即发现全身多处淋巴结肿大,但术后病理未提示淋巴结转移,仅为淋巴结反应性增生,未能明确淋巴结肿大原因,可能是该疾病的首发症状。该患者直到出现多浆膜腔积液,全身水肿,双下肢肌力下降,消瘦等一系列症状,并完善PET/CT与血免疫固定电泳等多种检查且经多学科会诊后才最终明确诊断。考虑该患者出现首发症状至今已4年余,已错失最佳治疗时机,预后不良。
POEMS综合征尚无特别有效的治疗方法,目前以化学药物治疗为主。常用的化疗方案包括:来那度胺+地塞米松;硼替佐米+地塞米松;CHOP方案,CAR-T,自体干细胞移植,放射治疗等[4]。硼替佐米联合地塞米松对新诊断的POEMS综合征患者具有良好的有效性、缓解率和安全性[17]。考虑该患者肾功能差,为避免进一步损害肾功能造成肾衰竭等严重并发症,故选用硼替佐米+地塞米松方案化疗。多发性神经病和恶病质是该疾病患者死亡的主要原因[18],本例患者双下肢肌力在半月内从5级下降至1级,极度消瘦,由于病情进展迅速,最终在治疗后仅1月死亡。
POEMS综合征无特异性临床表现,且常以神经系统疾病为首发症状,以腹水为早期临床表现的极为罕见。该疾病诊断困难,容易误诊、漏诊,耽误治疗时机。本例患者从发病到诊断明确的平均时间为4年,错失了最佳治疗时机。对于不明原因的腹水患者,在诊疗过程中要充分考虑到POEMS综合征的可能性,同时开展多学科MDT讨论有利于及早明确诊断启动治疗,从而改善患者预后。
参考文献:
1. ZHOU XL, CHANG YH, TANG SH, et al. Polyneuropathy organomegaly endocrinopathy M-protein and skin changes syndrome with ascites as an early-stage manifestation: A case report. World J Clin Cases 2023, 11(1):135-142. PMID: 36687199 DOI: 10.12998/wjcc.v11.i1.135]
2. BARDWICK P A, ZVAIFLER N J, GILL G N, et al. Plasma cell dyscrasia with polyneuropathy, organomegaly, endocrinopathy, M protein, and skin changes: the POEMS syndrome. Report on two cases and a review of the literature. Medicine (Baltimore) 1980, 59(4): 311-22 [PMID: 6248720 DOI: 10.1097/00005792-198007000-00006]
3. NASU S, MISAWA S, SEKIGUCHI Y, et al. Different neurological and physiological profiles in POEMS syndrome and chronic inflammatory demyelinating polyneuropathy. Journal of neurology, neurosurgery, and psychiatry 2012, 83(5): 476-9 [PMID: 22338030 DOI: 10.1136/jnnp-2011-301706]
4. DISPENZIERI A. POEMS Syndrome: 2019 Update on diagnosis, risk-stratification, and management. American journal of hematology 2019, 94(7): 812-27 [PMID: 31012139 DOI: 10.1002/ajh.25495]
5. SUICHI T, MISAWA S, SATO Y, et al. Proposal of new clinical diagnostic criteria for POEMS syndrome. Journal of neurology, neurosurgery, and psychiatry 2019, 90(2): 133-7 [PMID: 30279213 DOI: 10.1136/jnnp-2018-318514]
6. NOZZA A. POEMS SYNDROME: an Update. Mediterranean journal of hematology and infectious diseases 2017, 9(1): e2017051 [PMID: 28894560 DOI: 10.4084/mjhid.2017.051]
7. ABE D, NAKASEKO C, TAKEUCHI M, et al. Restrictive usage of monoclonal immunoglobulin lambda light chain germline in POEMS syndrome. Blood 2008, 112(3): 836-9 [PMID: 18497319 DOI: 10.1182/blood-2007-12-126979]
8. KANAI K, SAWAI S, SOGAWA K, et al. Markedly upregulated serum interleukin-12 as a novel biomarker in POEMS syndrome. Neurology 2012, 79(6): 575-82 [PMID: 22843279 DOI: 10.1212/WNL.0b013e318263c42b]
9. WARSAME R, YANAMANDRA U, KAPOOR P. POEMS Syndrome: an Enigma. Current hematologic malignancy reports 2017, 12(2): 85-95 [PMID: 28299525 DOI: 10.1007/s11899-017-0367-0]
10. YOKOUCHI H, BABA T, MISAWA S, et al. Changes in subfoveal choroidal thickness and reduction of serum levels of vascular endothelial growth factor in patients with POEMS syndrome. The British journal of ophthalmology 2017, 101(6): 786-90 [PMID: 27707692 DOI: 10.1136/bjophthalmol-2016-309319]
11. ZHAO H, CAI H, WANG C, et al. Prognostic value of serum vascular endothelial growth factor and hematological responses in patients with newly-diagnosed POEMS syndrome. Blood cancer journal 2018, 8(4): 37 [PMID: 29618787 DOI: 10.1038/s41408-018-0073-8]
12. KUWABARA S, SUICHI T, MISAWA S. 'Early VEGF testing in inflammatory neuropathy avoids POEMS syndrome misdiagnosis and associated costs' by Marsh et al. Journal of neurology, neurosurgery, and psychiatry 2021, 92(2): 118-9 [PMID: 33219039 DOI: 10.1136/jnnp-2020-323528]
13. MISAWA S, SATO Y, KATAYAMA K, et al. Vascular endothelial growth factor as a predictive marker for POEMS syndrome treatment response: retrospective cohort study. BMJ Open 2015, 5(11): e009157 [PMID: 26560063 DOI: 10.1136/bmjopen-2015-009157]
14. NAKAZAWA K, ITOH N, SHIGEMATSU H, et al. An autopsy case of Crow-Fukase (POEMS) syndrome with a high level of IL-6 in the ascites. Special reference to glomerular lesions. Acta pathologica japonica 1992, 42(9): 651-6 [PMID: 1476060 DOI: 10.1111/j.1440-1827.1992.tb03046.x]
15. CUI R T, YU S Y, HUANG X S, et al. The characteristics of ascites in patients with POEMS syndrome. Annals of hematology 2013, 92(12): 1661-4 [PMID: 23811954 DOI: 10.1007/s00277-013-1829-7]
16. FAIZAN U, SANA M K, FAROOQI M S, et al. Efficacy and Safety of Regimens Used for the Treatment of POEMS Syndrome- A Systematic Review. Clinical lymphoma, myeloma & leukemia 2022, 22(1): e26-e33[PMID: 34507924 DOI: 10.1016/j.clml.2021.07.033]
17. GAO X M, YU Y Y, ZHAO H, et al. Bortezomib plus dexamethasone as first-line therapy for patients with POEMS syndrome. Annals of hematology 2021, 100(11): 2755-61 [PMID: 34331562 DOI: 10.1007/s00277-021-04609-6]
18. ROSE C, MAHIEU M, HACHULLA E, et al. [POEMS syndrome]. La Revue de medecine interne 1997, 18(7): 553-62 [PMID: 9255373 DOI: 10.1016/s0248-8663(97)80807-7]
撰稿人
张雪,西部战区总医院消化内科研究生,西南交通大学硕士研究生在读,主要从事疑难肝病临床研究。
撰稿人
周晓蕾,西部战区总医院消化内科副主任医师,任四川省预防医学会感染性疾病预防与控制分会委员;四川省国际医疗交流促进会消化专业委员会委员;四川省康复医学会感染性疾病专业委员会委员;发表学术论文10余篇,参编专著2部;获国家专利2项,参与四川省卫生健康委员会科研课题1项。
审稿人
汤善宏,西部战区总医院消化内科主任
往期回顾
声明:本文仅供医疗卫生专业人士了解最新医药资讯参考使用,不代表本平台观点。该信息不能以任何方式取代专业的医疗指导,也不应被视为诊疗建议,如果该信息被用于资讯以外的目的,本站及作者不承担相关责任。