国际肝病 发表时间:2024/12/8 0:06:28 浏览量:392
作者:黄玥,彭虹 贵州省人民医院
摘要
肝性脑病(HE)是指急性或慢性严重肝病引起的认知、运动和精神障碍。目前HE被广泛认可的发病机制为氨代谢紊乱假说。血氨的清除主要依靠门静脉周围肝细胞中的尿素循环将其转化为尿素,以及细胞中谷氨酰胺合成酶(GS)合成谷氨酰胺。肝病患者通常因肝细胞代谢能力降低和门体分流引起患者氨清除能力减弱[1], 此时机体会激活骨骼肌中编码GS基因来增强肌肉合成谷氨酰胺的能力,维持氨代谢平衡[2]。氨代谢还和甲状腺功能也密切相关,研究提示甲状腺功能减退会降低肝脏、肾脏、肌肉中GS的活性从而引起血氨升高。目前已有病例报道甲状腺功能减退的肝硬化患者会出现反复高氨血症,且单纯的降氨治疗效果不佳[3]。
HE反复发生以及经颈静脉门体分流术(TIPS)会引起获得性肝脑变性(AHCD)。该病主要表现为精神障碍、认知障碍、小脑和锥体外系症状等[4],其诊断主要是依据反复HE的发生及分流病史,突出的锥体外系症状,并且颅脑MR提示苍白球(基底节区)在T1加权像上双侧高信号[5]。AHCD最为有效的治疗手段是肝移植,而关闭分流通道可以短暂的改善症状,多巴胺能药物可控制部分患者锥体外系症状[6]。
病例介绍
(第一阶段:患者消化道出血入院行TIPS术后,反复以“肝性脑病”收治入院)
患者男性,56岁,因“间断呕血3+年,反复乏力、意识障碍2月”于2023年07月14日至2023年10月17日多次入院。
第一次住院情况(2023.07.14至2023.07.30):3+年前无明显诱因出现呕血、黑便。3月再次出现呕血、黑便就诊我院,诊断为“酒精性肝硬化失代偿期伴食管胃底曲张静脉破裂出血”,2023.07.27于介入科行“TIPS术(VIATORR 8-10 mm/2 cm TIPS专用支架)+食管胃底曲张静脉栓塞术”。病情平稳后出院。
第二次住院情况(2023.08.22至2023.09.05):2月前患者食用鱼汤(量约100 mL)和瘦猪肉(量不详)后出现意识障碍,呼之不应等症状,急诊查血氨升高,考虑“肝性脑病”收治入院,入院后完善相关化验检查:血常规、肝肾功能轻度异常,颅脑MR(2023.09.03)T2WI上双重尾状核、壳核高信号,考虑高氨性脑病(急性HE或HE A型),为氨毒性所致脑水肿(图1)。予降血氨、护肝治疗,好转出院。

图1. 颅脑MR平扫的T1WI(左)和T2-FLAIR(右)序列。T1WI上双侧基底节未见高信号;T2-FLAIR上双侧尾状核和壳核见对称性高信号,考虑高氨血症对大脑的直接毒性作用,引起渗透失衡,从而出现对称性脑水肿
(源自讲者幻灯)
第三次住院情况(2023.09.22至2023.09.28):患者20+天前无明显诱因出现乏力、全身肌肉酸痛,急诊查血氨升高,脑CT未见脑实质内明显异常,考虑“肝性脑病”收入我科。入院后予保肝、降血氨等治疗后患者症状好转后出院。出院后规律口服乳果糖、门冬氨酸鸟氨酸颗粒,严格控制蛋白质饮食。
本次入院(2023.10.17-):患者5天前无明显诱因出现头晕,患者感头晕逐步加重,1天前开始出现意识障碍,急诊以“肝性脑病”收入我科。
既往史:饮酒30+年,约7两/天,戒酒3+年。个人史无特殊,否认肝炎病史及慢性肝病家族史。
入院查体:神志淡漠,反应稍迟钝,对答基本切题,查体合作。球结膜轻度水肿,双下肢肌力5-级,双下肢中度水肿。余查体无特殊。
入院初步诊断:酒精性肝硬化失代偿期(CTP B级):(1)食管胃底静脉曲张破裂出血TIPS术后;(2) HE 2级(C型)。
入院主要问题:患者出院后严格控制蛋白质饮食,无消化道出血、感染及电解质紊乱等诱因,肾功能正常,但反复出现高氨血症的原因,除考虑肝内门体分流有关外,有无其他病因导致产氨增加?
入院后完善辅助检查:
(1)血常规:红细胞:3.87×1012/L(↓),白细胞:3.84×109/L,血红蛋白:103 g/L(↓),血小板:105×109/L(↓)。
(2)尿常规、便常规未见异常。
(3)凝血六项:凝血酶原时间:17.4秒(↑),活化部分凝血活酶时间:36.2秒(↑),纤维蛋白原:1.36 g/L(↓),凝血酶原活动度:48.2%(↓),凝血酶原INR值:1.52(↑)。
(4)血氨:63.44 μmol/L(↑),C反应蛋白:0.45mg/L。
(5)生化全套:ALT:80 U/L(↑),AST:140↑U/L,TB:36.1 μmol/L(↑),DB:16.2 μmol/L(↑),ALB:34 g/L(↓),GLB:34.5 g/L(↓)。K:3.62 mmol/L,CREA:88 mmol/L,UREA:3.65 mmol/L。
(6)心肌酶:高敏肌钙蛋白I:0.005 μg/L,肌红蛋白:856.2 μg/L(↑),肌酸磷酸激酶同工酶:31.3 μg/L(↑),乳酸脱氢酶:851 U/L(↑),肌酸激酶(CK):4569 U/L(↑),肌酸激酶同工酶(CK-MB):72.2 U/L(↑)。
(7)双下肢MR:双侧小腿皮下及肌肉软组织多发渗出。
(8)双下肢肌电图:提示一级皮层后功能改变;合并多发性周围神经损害。
(9)抗核抗体、抗中性粒细胞抗体、肌炎抗体谱未见明显异常。
(10)甲状腺功能:游离三碘甲状腺原氨酸(FT3):<1.64 pmol/L(↓),游离甲状腺素(FT4):<5.15 pmol/L(↓),促甲状腺激素(TSH):410.065 mIU/L(↑),抗甲状腺过氧化物酶抗体13.30 IU/mL,抗甲状腺球蛋白抗体测定:甲状腺球蛋白抗体454.00 IU/mL,促甲状腺素受体抗体<0.80 IU/L。
(11)甲状腺B超:甲状腺回声弥漫性改变。
治疗经过:反复高氨血症、双下肢无力,入院查肌酸激酶明显升高,双下肢磁共振及肌电图提示肌炎及周围神经炎表现,进一步除外自身免疫性肌炎并经甲状腺激素检查明确甲状腺功能减退性肌病。
(1)对症保肝、降血氨治疗;(2)针对甲状腺功能减退性肌病,予以左甲状腺素钠 50-75-100 μg逐步加量治疗,并联合醋酸泼尼松 30 mg治疗。2023.11.03患者乏力、神志淡漠情况较前好转出院。患者出院后继续补充左甲状腺素素片,醋酸泼尼松、门冬氨酸鸟氨酸和乳果糖治疗。
(第二阶段:再起波澜,出院2月,患者再发行走不稳)
再次入院(2024.01.02-):患者因行走不稳,偶饮水呛咳1+月,以“肝硬化失代偿期”收入我科。
入院查体:神志淡漠,少言懒语,对答切题,前冲步态,四肢肌张力高,四肢肌力5-级,双下肢中度水肿。
入院后主要问题:新出现锥体外系症状(1)HE?(2)新发神经系统疾病?
入院后完善辅助检查:
(1)血常规:白细胞:4.34×109/L,红细胞:3.65×1012/L(↓),血红蛋白:90 g/L(↓),血小板:128×109/L。
(2)肝功能:总胆红素:23.7 μmol/L(↑),ALB:29 g/L(↓),余未见明显异常。血氨:98 μmol/L(↑)。肾功能、电解质、C反应蛋白、IL-6、CK、CK-MB、FT3、FT4未见明显异常。
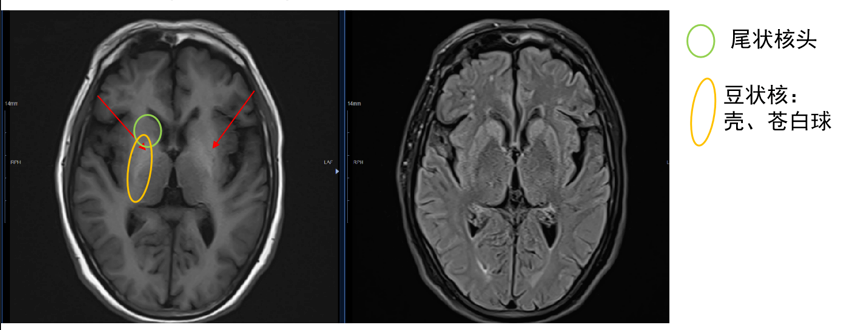
(3)颅脑MR:T1WI上双侧苍白球出现对称性高信号,考虑锰等神经毒性物质积累所致(图2)。

图2. 颅脑MR平扫的T1WI(左)和T2-FLAIR(右)序列。T1WI上双侧苍白球出现对称性高信号,考虑锰等神经毒性物质积累所致。T2-FLAIR上双侧基底节未见异常信号,原双侧尾状核和壳核高信号消失
(源自讲者幻灯)
诊疗经过:结合患者锥体外系症状,血氨升高和颅脑MR新发改变,考虑诊断为慢性HE并发帕金森样综合征,又称为AHCD。在补充甲状腺素、保肝、降氨等治疗基础上加用盐酸普拉克索缓释片(0.125 mg qd)治疗锥体外系症状。患者能独立行走后出院。
最终出院诊断:
(1)酒精性肝硬化失代偿期,①食管胃底静脉曲张破裂出血(TIPS术后),②获得性肝脑变性 ;
(2)原发性甲状腺功能减退症并甲状腺功能减退性肌病;
(3)贫血(轻度);
(4)周围
出院后随访:2024.05电话随访,患者能独立行走。
病例总结
患者因酒精性肝硬化伴多次食管胃底静脉曲张破裂出血,接受了TIPS治疗。治疗后2个月内,患者因疑似HE多次再入院。术后首次发作,患者有大量蛋白饮食诱因,多次发作后患者及其家属对蛋白饮食进行了严格控制,并规律服用门冬氨酸鸟氨酸和乳果糖。
然而,短期内患者类似症状再发伴下肢无力,且未见感染、消化道出血或电解质紊乱等诱因,因此考虑是否存在其他引起血氨升高的因素。
通过筛查氨代谢途径,发现患者CK显著升高,进一步探寻CK升高的原因,发现患者甲状腺功能明显减低,与该患临床上显著的神志淡漠相符,完善相关检查最终诊断为甲状腺功能减退性肌病。
经过补充甲状腺激素和使用糖皮质激素抗炎治疗后,患者症状迅速好转出院。此后,患者新发锥体外系症状入院,通过颅脑MR发现基底节区短期内出现动态变化,结合患者多次反复HE病史,诊断为AHCD。予以多巴胺能药物普拉克索治疗后患者出院,出院后随访患者锥体外系症状有所改善。
诊疗体会
该患者第一阶段精神改变、乏力等症状均可出现在甲状腺功能减退和HE患者,给诊断带来一定迷惑性。临床上遇到血氨升高诱因不明、降血氨治疗效果不佳的HE时需警惕甲状腺功能减退的存在。
第二阶段患者出现帕金森综合征时,我们需要仔细辨别:首先患者大量饮酒史,本身可能有酒精相关性Wernicke脑病可能,该病典型的临床表现主要为意识障碍、眼外肌麻痹共济失调三联征[7],影像学上典型表现为颅脑MRI可见中脑导水管周围、第三、第四脑室基地部以及丘脑、乳头体对称性长T2WI信号,Flair呈高信号。显然该患者临床表现及最后一次颅脑MR与Wernicke脑病不符;其次甲状腺功能减退可引起帕金森样症状[8],在补充左甲状腺素后症状会迅速改善[9]。
该例患者出现帕金森样症状时,甲状腺激素处于正常水平,故我们认为帕金森样症状的出现与基底节区病变有关。当患者病情诊断不清时,多学科交流能为患者病情诊断提供更全面方向。
对于需要行TIPS治疗的肝硬化患者我们应该严格评估患者的适应证和禁忌证,仔细向家属解释相关并发症风险,教育其术后低蛋白饮食重要性。在进行TIPS治疗时也应该选用指南推荐专用支架。在患者短期内反复多次出现高氨血症时,我们除了考虑肝脏中氨代谢障碍时,应该进一步排除是否合并其他来源的氨代谢异常(比如肌肉、肾脏、肠道)。当HE反复多次发作的患者出现新发神经、脊髓相关症状时,我们应该进一步鉴别是否并发AHCD、肝脊髓变性或者其他神经系统疾病。
参考文献:
[1] Butterworth R F. Hepatic Encephalopathy in Cirrhosis: Pathology and Pathophysiology[J]. Drugs, 2019,79(Suppl 1):17-21.
[2] Desjardins P, Rao K V, Michalak A, et al. Effect of portacaval anastomosis on glutamine synthetase protein and gene expression in brain, liver and skeletal muscle[J]. Metab Brain Dis, 1999,14(4):273-280.
[3] Diaz-Fontenla F, Castillo-Pradillo M, Diaz-Gomez A, et al. Refractory hepatic encephalopathy in a patient with hypothyroidism: Another element in ammonia metabolism[J]. World J Gastroenterol, 2017,23(28):5246-5252.
[4] Arenas A, Urzua A, Poniachik J, et al. Reversibility of Acquired Hepatocerebral Degeneration After Liver Transplantation[J]. Liver Transpl, 2018,24(8):1133-1137.
[5] Malaquias M J, Pinto C M, Ramos C, et al. Acquired hepatocerebral degeneration and hepatic encephalopathy: one or two entities?[J]. Eur J Neurol, 2020,27(12):2396-2404.
[6] EASL Clinical Practice Guidelines on the management of hepatic encephalopathy[J]. J Hepatol, 2022,77(3):807-824.
[7] Kril J J, Butterworth R F. Diencephalic and cerebellar pathology in alcoholic and nonalcoholic patients with end-stage liver disease[J]. Hepatology, 1997,26(4):837-841.
[8] Schneider S A, Tschaidse L, Reisch N. Thyroid Disorders and Movement Disorders-A Systematic Review[J]. Mov Disord Clin Pract, 2023,10(3):360-368.
[9] Ehm G, Kim H J, Jeon B. Hypothyroidism-induced Reversible Encephalopathy as a Cause of Aggravation of Parkinsonism and Myoclonus in Parkinson's Disease[J]. Tremor Other Hyperkinet Mov (N Y), 2017,7:505.

通讯作者
彭虹
医学博士、主任医师、硕士生导师
贵州省人民医院感染科主任
中华医学会肝病学分会青年学组委员
中华医学会肝病学分会肝病相关消化病协助组委员
中国医院协会抗菌药物临床应用工作委员会委员
全国自身免疫性肝炎协助组委员
佑安肝病感染病联盟常委
贵州省医学会感染病学分会副主任委员
贵州省医学会肝病学分会常委
临床肝胆杂志青年编委
JTIM青年编委

作者简介
黄玥
医学博士,住院医师
贵州省人民医院 肝病感染科
(来源:《国际肝病》编辑部)

声明:本文仅供医疗卫生专业人士了解最新医药资讯参考使用,不代表本平台观点。该信息不能以任何方式取代专业的医疗指导,也不应被视为诊疗建议,如果该信息被用于资讯以外的目的,本站及作者不承担相关责任。