国际肝病 发表时间:2025/11/18 13:41:16

编者按:2025年11月7日至11日,全球肝病领域最具影响力的学术盛会——第76届美国肝病研究学会年会(AASLD 2025)在美国华盛顿隆重举行。会上,本次特邀复旦大学附属华山医院郑建铭教授系统解读慢加急性肝衰竭(ACLF)领域诊疗新进展,涵盖治疗策略优化、免疫机制探索及预后模型创新三大方向并分享了其团队入选大会的4项优秀研究成果。
《国际肝病》
作为肝病领域的专家,请您谈谈本届大会中哪些研究方向或主题最吸引您的关注?这些领域近年来出现了哪些值得注意的发展趋势或转变?
郑建铭教授:本届大会我主要聚焦于慢加急性肝衰竭(acute-on-chronic liver failure,ACLF)的标准化治疗策略的探索、免疫机制研究与精准预后预测和管理方面。
目前针对ACLF的治疗主要集中于:清除毒素与炎症介质、促进肝再生、免疫调节、调节肠道微生态、非生物人工肝支持。
首先,非生物型人工肝在清除炎症介质、毒素,改善凝血功能和血流动力学的研究是我们关注的一个方向,研究“是否有效”以及“如何优化”,例如不同技术的联合方案,治疗时机的选择(治疗黄金窗口期的探索)以及针对不同病因、炎症表型、严重程度的个体化方案。新技术的开发和应用也很重要,通过细胞疗法、外泌体治疗等研究,探索更有效、安全的治疗方向。另外,ACLF患者凝血机制相关的研究和人工肝治疗过程中凝血管理也是一个方向。
ACLF患者的风险分层和临床预后模型的开发优化也是一个研究重点。比如针对目前的评分模型:MELD评分、COSSH-ACLF 2.0评分等,通过截断值探索,能够早期识别高风险患者,确定治疗的黄金窗口期,对患者进行分层管理和干预治疗,从而达到改善患者预后的效果。另外可以整合临床指标(胆红素、INR等)和新型生物标志物(微生物组、代谢组及蛋白质组),进行预后预测模型的开发和优化,我们现在也在进行ACLF患者细菌、真菌感染相关的预测模型开发,希望能够实现早期预警、早期诊断、早期干预以此达到靶向防治,改善患者生存率。
总而言之,未来还需要ACLF的统一标准定义、更大规模的标准化临床研究和更明确的基础机制研究来推动ACLF的精准治疗和预后管理。
SAFETY AND HBSAG REDUCTION IN PATIENTS WITH CHRONIC HEPATITIS B TREATED BY A LENTIVIRAL VECTOR THERAPEUTIC VACCINE (J-51): AN INVESTIGATOR-INITIATED PILOT TRIAL
大会壁报照片
研究背景和目的
慢乙肝的功能性治愈是当前重要的治疗终点。虽然,根据基线表面抗原水平优选出的群体,经过聚乙二醇干扰素单药或联合核苷类似物治疗能获得比较高的HBsAg清除率。但是,只是优选人群获得功能性治愈,需要研发提高功能性(临床)治愈率的新药。J-51是一种基于非整合慢病毒载体的研究性疫苗,编码HBV基因型C大S抗原。与直接往患者体内补充输注T细胞的TCR-T疗法不同,J-51主要通过激活患者体内残存的HBsAg特异性CD8⁺T细胞,重建强效且持久的HBV特异性T细胞免疫应答,达到功能性治愈。
研究方法
本研究是一项开放标签,研究者发起的探索性试验(临床试验注册号ChiCTR2200062625),纳入HBeAg阴性的慢乙肝成人患者,肝功能ALT正常水平,HBsAg<5000 IU/mL。HBsAg应答定义为HBsAg较基线水平下降>0.5 log₁₀ IU/mL。本研究分两部分,第一部分探索基础免疫(免疫2剂次)剂量和免疫加强(1次),第二部分评估剂量(仅免疫2次)递增,研究设计如图1-1所示。
图1-1. 研究设计
研究结果
在第一部分研究中,1/3患者(33.3%)获得HBsAg应答,最大下降幅度为1.25 log₁₀ IU/mL(图1-2)。在第二部分研究中,2/3患者(66.7%)获得HBsAg应答,其中1例在52周时发生HBsAg清除(<0.05IU/mL),最大下降幅度为3.64 log₁₀ IU/mL(图1-3)。安全性评价方面,J-51在所有剂量下都表现出良好的安全性,整个治疗过程中未发生严重不良事件或治疗中断。
图1-2. 第一部分研究结果
图1-3. 第二部分研究结果
研究结论
J-51作为全球首个基于慢病毒载体的治疗性乙肝疫苗,仅需肌肉注射2剂,表现出良好的安全性。治疗后患者出现持续的HBsAg水平下降。
研究者说
2025年10月发表了《中国慢性乙型肝炎功能性(临床)治愈临床实践专家共识》,系统阐述了基于患者特征的人群分层与阶梯式治疗策略等内容。无论是根据基线特征指导治疗(baseline guided therapy,BGT),还是根据治疗应答调整治疗方案(response guided therapy,RGT),依然是优选人群获得功能性治愈,J-51的这些结果支持其作为实现慢性乙型肝炎功能性治愈的免疫治疗药物进一步研发,并为后续开展更大规模临床试验或联合多类药物以验证其疗效提供了依据。本研究由劲威生物、复旦大学附属华山医院、上海感染与免疫科创中心、长治市人民医院和法国巴斯德研究所合作完成。
LONG-TERM EFFECTS OF PEGINTERFERON-BASED THERAPY VERSUS NUCLEOS(T)IDE ANALOGUE MONOTHERAPY IN NONCIRRHOTIC HBEAG-POSITIVE CHRONIC HEPATITIS B PATIENTS
大会壁报照片
研究背景和目的
与核苷(酸)类似物(NA)单药治疗相比,基于干扰素(IFN)的疗法对HBeAg阳性慢性乙型肝炎(CHB)患者长期临床获益的差异尚未明确。本研究旨在评估这两种治疗方案在新发肝硬化、血清学应答及肝细胞癌(HCC)发生方面的累积发生率差异。
研究方法
纳入2个独立的非肝硬化HBeAg阳性CHB患者队列:一组为初治队列,另一组为NA经治队列。采用倾向性评分减少两组的异质性差异。研究的主要终点为新发肝硬化的累积发生率。
研究结果
纳入研究的初治队列为686例,NA经治队列为531例。倾向性评分后,无论是与NA单药治疗组中的初治患者还是与NA单药治疗组中的经治患者相比,IFN治疗组患者10年新发肝硬化累积发生率更低(3.3% vs 20.0%,P=0.005)和(4.9% vs 20.9%,P=0.034)。两组患者中IFN治疗显著增加血清学应答率,包括HBeAg转阴率(初治组为84.7% vs 55.6%,P<0.001;NA经治组为60.4% vs 43.6%,P<0.001),HBsAg转阴率(初治组为14.3% vs 5.7%,P=0.006;NA经治组为10.2% vs 1.3%,P<0.001)。亚组分析显示IFN治疗在96周内获得HBeAg转阴患者获得更大的长期获益,包括更低的肝硬化发生率和更高的HBsAg转阴率。虽然IFN治疗组HCC发生率更低,但是与NA单药治疗组相比,差异没有统计学意义。
研究结论
与NA单药治疗相比,非肝硬化HBeAg阳性CHB患者基于IFN治疗在降低肝硬化发生风险和增加血清学应答方面有更多的长期获益。
研究者说
与NA单药治疗相比,基于IFN的治疗对非肝硬化HBeAg阳性CHB患者10年累积肝硬化发生率更低,血清学应答率更高,能有更多的长期获益。本研究由复旦大学附属上海市公共卫生临床中心胡乾坤博士作为第一作者,复旦大学附属华山医院感染科黄玉仙教授作为通讯作者。
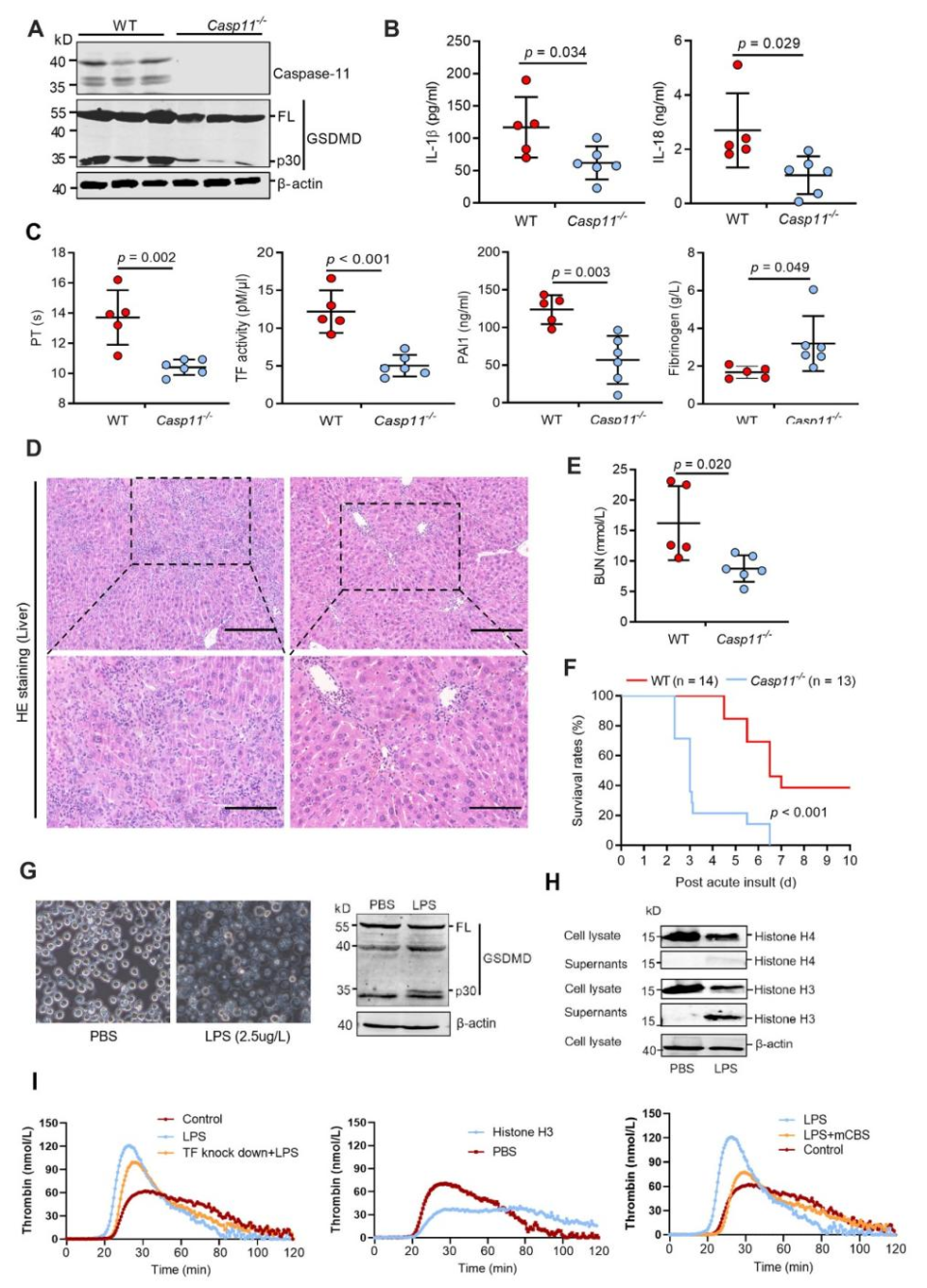
NONCANONICAL INFLAMMASOME-TRIGGERED PYROPTOSIS EXACERBATES COAGULOPATHY IN ACUTE-ONCHRONIC LIVER FAILURE VIA RELEASING HISTONE H3 AND ENHANCING TISSUE FACTOR ACTIVITY
大会壁报照片
研究背景和目的
凝血功能障碍是影响ACLF患者死亡最重要的独立预后危险因素之一。细胞焦亡可激活凝血系统诱导小鼠发生DIC。本研究目的在于研究ACLF患者中细胞焦亡对凝血系统的作用及分子机制。
研究方法
检测ACLF患者和小鼠炎症小体焦亡通路的激活以及凝血相关指标表达。利用炎症性胱天蛋白酶(caspase)-11和gsdmd敲除小鼠研究炎症小体介导的焦亡通路激活对ACLF小鼠凝血和预后的影响。在THP-1细胞系中诱导非经典途径焦亡,检测细胞上清凝血酶的产生,以探索焦亡影响凝血酶产生的具体机制。
研究结果
图3-1. 研究结果
研究结论
Caspase 4/11-GSDMD通过释放组蛋白和增加TF活性,从而激活凝血系统,参与加重ACLF患者和小鼠的凝血障碍。
研究者说
ACLF临床症候群是以凝血功能障碍、黄疸、肝性脑病、腹水等为主要表现。凝血功能紊乱存在复杂的机制,不仅促凝血物质合成减少,抗凝血物质同样合成减少,是脆弱的平衡状态。本研究发现Caspase-4介导肝巨噬细胞焦亡通过释放组蛋白加重ACLF患者和小鼠的凝血障碍,为肝衰竭患者凝血功能紊乱的机制提供新的见解。本研究由复旦大学附属华山医院感染科张雪云博士作为第一作者,黄玉仙教授作为通讯作者。
Combination with glucocorticoids during artificial liver support system treatment does not improve the survival rate of Acute-on-chronic liver failure patients: A retrospective cohort study
大会壁报照片
研究背景和目的
ACLF是个系统性炎症的临床过程,常为慢性肝病的基础上合并急性事件,导致肝衰竭发生,最突出的免疫应答表现为炎性细胞因子风暴。人工肝是治疗炎症因子风暴的重要手段。糖皮质激素也可以抑制免疫反应。肝衰竭是否早期使用糖皮质激素尚有争议。人工肝血浆置换模式由于担心血浆过敏,可能会在人工肝治疗期间使用糖皮质激素。本研究旨在评价ACLF患者人工肝治疗期间联合糖皮质激素是否会获益。
研究方法
采用回顾性队列研究的方法,纳入接受人工肝治疗的ACLF患者,根据在人工肝治疗期间是否使用激素分为激素组和对照组,通过倾向得分匹配(PSM)方法,根据基线MELD评分进行1:1匹配,分析两组患者生存率和并发症情况。(图4-1)
图4-1. 研究流程图
研究结果
本研究共纳入124例接受人工肝治疗的ACLF患者,分为激素组和对照组,根据基线情况通过PSM最终纳入100例患者进行分析。激素组和对照组在90天生存率方面未见显著差异(72.0% vs. 67.8%,P=0.6636),如图4-2所示。两组间感染发生率也无统计学差异(36% vs. 30%,P=0.3912)。进一步根据患者基线MELD评分和COSSH-ACLF 2.0评分进行了分层分析。在MELD评分>24或COSSH-ACLF 2.0评分>7.3的患者中,90天生存率明显较低,差异具有统计学意义(均P<0.0001)。
图4-2. 两组的生存分析比较
单因素分析提示,中性粒细胞计数、血肌酐、尿素、INR、人工肝治疗次数、MELD评分>24以及COSSH-ACLF 2.0评分>7.3与90天预后相关。多因素分析中,尿素(HR=1.19,95%CI:1.04-1.37,P=0.013)、血氨(HR=1.02,95%CI:1.01-1.03,P=0.005)、人工肝次数(HR=0.51,95%CI:0.32-0.80,P=0.003)和新发感染(HR=3.99,95%CI:1.16-13.74,P=0.028)与90天预后相关。(表4-1)
表4-1. 单因素和多因素分析影响预后的危险因素
研究结论
在人工肝治疗基础上联合糖皮质激素,并不能进一步改善慢加急性肝衰竭患者的生存率,血尿素、血氨水平以及新发感染是导致90天死亡风险增加的独立危险因素。
研究者说
通过这项研究发现,在人工肝治疗基础上联合糖皮质激素,并不能进一步改善ACLF患者的生存率。因此,不建议人工肝治疗期间加用糖皮质激素治疗。本研究由复旦大学附属华山医院和兰州市第二人民医院共同合作完成。
(来源:《国际肝病》编辑部)
声明:本文仅供医疗卫生专业人士了解最新医药资讯参考使用,不代表本平台观点。该信息不能以任何方式取代专业的医疗指导,也不应被视为诊疗建议,如果该信息被用于资讯以外的目的,本站及作者不承担相关责任。